life@慢性根尖周炎
慢性根尖周炎(Chronic Apical Periodontitis)是牙根尖周围组织的慢性炎症性疾病,通常由牙髓感染坏死、细菌及毒素扩散至根尖区引发。

病因
- 感染为主因:
- 龋齿、牙髓炎未治疗导致牙髓坏死,细菌(如厌氧菌)通过根管感染根尖周组织。
- 既往根管治疗不彻底(如残留感染或根管填充不密合)。
- 其他因素:
- 牙外伤导致牙髓坏死。
- 牙周炎感染扩散至根尖。
临床表现
- 症状轻微或无症状:多数患者无明显疼痛,可能因体检拍X线片偶然发现。
- 偶发不适:患牙咀嚼时有轻微钝痛或闷胀感。
- 牙龈瘘管:部分病例在患牙根尖区牙龈可见瘘管开口(脓液排出通道),可能伴随反复肿胀。
- 牙体表现:牙冠变色(灰暗)、龋坏或充填体。
诊断方法
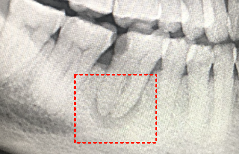
- X线检查:
- 根尖周透射影(低密度阴影),边界模糊或清晰(肉芽肿或囊肿可能)。
- 临床检查:
- 叩诊轻度不适,牙髓活力测试无反应(牙髓坏死)。
- 瘘管探诊或造影辅助诊断。
治疗原则
- 根管治疗(首选):
- 清除感染牙髓,彻底消毒根管,严密充填根管+冠方封闭。
- **成功率约80-90%**,部分需多次复诊。
- 根尖手术:
- 根管治疗失败或根尖囊肿较大时,行根尖切除术+倒充填。
- 拔牙:
- 患牙严重破坏、无法保留时拔除,后期考虑种植或修复。
并发症与注意事项
- 急性发作:慢性炎症可能转为急性根尖周炎,引发剧烈疼痛、肿胀。
- 根尖囊肿:长期炎症可导致囊肿形成,需手术摘除。
- 定期复查:治疗后需随访X线评估愈合情况(骨组织修复需数月)。
预防建议
- 及时治疗龋齿、牙髓炎,避免感染扩散。
- 定期口腔检查,尤其既往有牙髓治疗的牙齿。